





Pasquale Lozano, responsabile del centro di riabilitazione per le malattie muscoloscheletriche
Pochi sanno che lo sviluppo di Arthrovia ha richiesto molto tempo. Il mio team e io abbiamo studiato centinaia di estratti vegetali provenienti da diverse parti del mondo. Alla fine, siamo riusciti a sintetizzare la formula ideale, sulla base della quale è nata la crema Arthrovia.
Non è solo un antidolorifico che agisce in superficie. I componenti della crema penetrano in profondità nei tessuti e li uniscono letteralmente, rafforzandoli e ripristinandone l'elasticità. Ho sviluppato una tecnica speciale per l'applicazione della crema Arthrovia, che non ha eguali nemmeno in Europa. Seguendo i miei consigli, potrai muoverti liberamente.
Non ignorare i primi segnali: dolore, gonfiore o rigidità. Agisci in tempo per evitare che la malattia progredisca a stadi gravi e preservare la tua mobilità e la tua qualità di vita.
L'artrite è un'infiammazione delle articolazioni accompagnata da dolore intenso e limitazione dei movimenti. Secondo le statistiche, il 37% delle persone affette da artrite diventa disabile se non inizia il trattamento in tempo. Non ignorare i primi segnali della malattia!
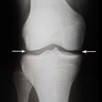
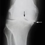
L'osteoartrite distrugge progressivamente il tessuto cartilagineo e porta alla deformazione dell'articolazione. Col tempo, anche i movimenti più semplici diventano impossibili e il dolore diventa costante. Una terapia adeguata aiuta a fermare la progressione della malattia.
Gonfiore e infiammazione dell'articolazione del ginocchio sono un segnale d'allarme di gravi patologie. Senza trattamento, possono portare alla completa perdita di mobilità e alla necessità di un intervento chirurgico. Agisci immediatamente ai primi sintomi!
Dolore e pesantezza alla colonna vertebrale
Scricchiolii articolari durante la deambulazione
Gonfiore degli arti, dolore alle dita
Limitazioni nella deambulazione
Dolore quando si gira la testa o il busto
Questo indica che hai problemi alle articolazioni.
Molte persone pensano che le malattie articolari siano associate a cambiamenti legati all'età o a malattie genetiche, ma non è così. Ecco le principali cause delle malattie del sistema muscolo-scheletrico:
Allergia -Reazioni allergiche che causano infiammazione nell'organismo e contribuiscono allo sviluppo di malattie articolari.
VirusAlcuni virus circolano nel sangue e si insediano nei vasi sanguigni. Penetrano nelle membrane articolari e causano sintomi spiacevoli.
Malattie del sistema nervosoLe disfunzioni del sistema nervoso interrompono il nutrimento di muscoli, ossa e tono vascolare, causando esaurimento articolare.
Malattie Una circolazione sanguigna alterata nei vasi sanguigni causa processi infiammatori nelle articolazioni e nelle ossa.
Malattie del sistema endocrinoMolte malattie articolari sono causate da disturbi ormonali nell'organismo.
Arthrovia
Non aggiungiamo sostanze chimiche aggressive o allergeni forti. Il 90% della composizione è costituito da estratti naturali. I componenti si completano a vicenda e hanno un effetto positivo sulla causa della malattia.


Arnica montana riduce gonfiore e infiammazione
Mentolo rinfresca e accelera la guarigione
Aharpagophytum procumbens rafforza i vasi sanguigni e riduce l'infiammazione
Robinia pseudoacacia allevia i dolori articolari
Estratto di gomma di Boswellia serrata riduce il dolore e migliora la mobilità
Applicare la crema solo a riposo.
Affinché Arthrovia agisca rapidamente, è necessario applicarla sulle zone doloranti a riposo.
Al mattino
Applicare la crema al mattino, subito dopo il risveglio. Dopo l'applicazione, sdraiarsi per 20-30 minuti fino al completo assorbimento.
Applicare la crema la sera prima di coricarsi. Dopo l'applicazione, non alzarsi per non far lavorare muscoli e articolazioni.
Per evitare di danneggiare ulteriormente la pelle e le articolazioni, non è necessario massaggiare energicamente la crema. È sufficiente applicarla con movimenti leggeri.
Prima applicazione
Prima
Dopo1 settimana
Prima
Dopo1 mese
Prima
Dopo